Profesionales de la Escuela Andaluza de Salud Pública participan en un estudio internacional para revelar los orígenes de la Leucemia Mieloide Aguda en personas sanas. Los resultados, publicados en Nature, apuntan a que es posible detectar el origen de la enfermedad cinco años antes de su desarrollo.
Un equipo de investigadores internacionales, ha descubierto que es posible identificar a las personas con alto riesgo de desarrollar Leucemia Mieloide Aguda (LMA) años antes del diagnóstico. Profesionales de la Escuela Andaluza de Salud Pública (EASP), junto a investigadores del Instituto Wellcome Sanger y el Instituto Europeo de Bioinformática (EMBL-EBI), investigadores del Centro de Investigación Biomédica en Red de Epidemiología y Salud Pública (CIBERESP) y de otros centros de relevancia internacional, descubrieron que los pacientes con LMA tenían cambios genéticos en la sangre años antes de que desarrollaran la enfermedad.
El estudio, publicado en la revista Nature, muestra que los análisis de sangre que estudian cambios en el código de ADN pueden revelar los orígenes de la LMA en personas sanas. Investigaciones adicionales podrían permitir la detección y el control más temprano de las personas con riesgo de LMA en el futuro, y abrir la posibilidad de reducir la probabilidad de padecer este tipo de enfermedad hematológica.
Los investigadores del CIBERESP del que la EASP forma parte, Elena Salamanca Fernández, José M. Huerta y Aurelio Barricarte, explican cómo a través de la colaboración con el Estudio Prospectivo Europeo sobre Nutrición y Cáncer (EPIC), uno de los estudios de cohortes multicéntricos más grandes del mundo con más de medio millón de participantes de 10 países europeos, se han podido descubrir los primeros pasos en el desarrollo de la LMA. María José Sánchez es la investigadora principal de EPIC en España.
“El reclutamiento de EPIC comenzó a principios de los años noventa. Se recogieron muestras de sangre de un gran número de personas y se hizo un seguimiento de estos individuos a lo largo del tiempo estudiando la aparición de cáncer” explican miembros del equipo de investigación en España. “Algunas de estas personas más tarde desarrollaron LMA y, utilizando sus muestras de sangre almacenadas, se pudo mirar qué cambios genéticos ya estaban presentes años antes de que apareciera la enfermedad” añaden los investigadores que pertenecen, a la Escuela Andaluza de Salud Pública, el Hospital Virgen de la Arrixaca de Murcia y el Instituto de Salud Pública de Navarra.
Los científicos, incluidos investigadores de la Universidad de Toronto en Canadá y el Instituto Weizmann en Israel, secuenciaron el ADN sanguíneo almacenado de 124 pacientes con LMA y lo compararon con el de 676 personas que permanecieron libres de LMA u otro cáncer. Sorprendentemente, descubrieron que muchas de las personas que desarrollaron LMA tuvieron cambios genéticos particulares que los diferenciaron de los que no lo hicieron. Estos cambios podrían usarse colectivamente para desarrollar una prueba predictiva del riesgo de LMA para identificar a las personas con alto riesgo de desarrollar LMA muchos años antes de que lo hagan.
Identificar correctamente a las personas con riesgo de LMA
«La leucemia mieloide aguda a menudo aparece de forma muy repentina en los pacientes, por lo que nos sorprendió descubrir que sus orígenes son generalmente detectables más de cinco años antes de que se desarrolle la enfermedad. Esto proporciona una prueba de que es posible identificar a las personas con alto riesgo de desarrollar LMA», explica Grace Collord, primera autora conjunta e investigadora del Wellcome Sanger Institute y la Universidad de Cambridge.
El estudio se centró en los genes que se sabe están asociados con la LMA, y se encontraron mutaciones frecuentes en algunos de estos genes en muchas personas, incluidas algunas que no desarrollaron LMA. Sin embargo, los investigadores descubrieron que las personas que estaban en el camino de desarrollar LMA tenían un mayor número de mutaciones y que las mutaciones a menudo estaban presentes en una fracción mayor de sus células sanguíneas.
Moritz Gerstung, uno de los autores principales del estudio del EBI, añadió: «necesitábamos una gran cantidad de muestras para obtener resultados precisos, y este estudio solo fue posible mediante la colaboración con el estudio EPIC. La generosidad de los participantes al compartir sus datos y muestras de sangre nos permitió descubrir un patrón de cambios genéticos que se establece mucho antes de que aparezca la LMA, y que confiere un mayor riesgo cuantas más células se ven afectadas por el cambio genético. Este retraso genético también se puede encontrar en otras neoplasias hematológicas, y esto abriría nuevas vías para futuras investigaciones que podrían ayudar a muchas personas en el futuro «.
Tal y como apuntan los autores: «el estudio proporciona por primera vez evidencia de que se puede identificar a las personas en riesgo de desarrollar LMA muchos años antes de que realmente desarrollen esta enfermedad potencialmente mortal. Esperamos aprovechar estos hallazgos para desarrollar pruebas de detección robustas y así identificar a aquellas personas en riesgo e impulsar la investigación sobre cómo prevenir o detener la progresión hacia la LMA. Nuestra aspiración es que algún día la prevención de LMA proporcione una alternativa convincente al tratamiento».
Un tipo de neoplasia hematológica que afecta a todas las edades
La Leucemia Mieloide Aguda es una neoplasia hematológica agresiva que afecta a personas de todas las edades. Las células cancerosas se multiplican rápidamente en la médula ósea y detienen la producción de células sanguíneas normales, lo que provoca infecciones y hemorragias fatales. Los tratamientos convencionales para la LMA han cambiado muy poco durante varias décadas y, aunque algunos enfermos se curan, la mayoría no lo logra.
Aproximadamente 5 de cada 100.000 personas en la población general desarrollan LMA cada año. Esto significa que cualquier prueba predictiva debe ser altamente precisa para minimizar el riesgo de resultados falsos positivos. A pesar de los métodos potentes utilizados en el estudio, se necesitará más investigación para mejorar la precisión de las pruebas predictivas para que sean lo suficientemente robustas como para usarlas clínicamente. El objetivo de los investigadores es identificar a las personas con riesgo de LMA y controlarlas de cerca, mientras se desarrollan enfoques para prevenir el desarrollo de la leucemia.
Artículo de referencia:
Sagi Abelson and Grace Collord et al. Prediction of acute myeloid leukaemia risk in healthy individuals. (2018) Nature. DOI 10.1038/s41586-018-0317-6
Sobre el EPIC
El Estudio prospectivo europeo sobre cáncer y nutrición (EPIC) es un estudio epidemiológico multicéntrico con más de medio millón de participantes en 10 países europeos (epic.iarc.fr), cuya investigadora principal en España es María José Sánchez, profesora de la Escuela Andaluza de Salud Pública.
Además en nuestro país, 4 de los 6 grupos de investigación que conforman el estudio EPIC pertenecen al CIBERESP: El Instituto Biodonostia, el Instituto de Salud Pública de Navarra, La Escuela Andaluza de Salud Pública y la Fundación para la Formación e Investigación Sanitarias de la Región de Murcia, con participación de la Dirección General de Salud Pública de Asturias y el Instituto Catalán de Oncología (ICO). La cohorte está formada por 41.437 voluntarios de ambos sexos, entre 35 y 70 años, reclutados entre 1992 y 1996. De cada participante se obtuvo una información detallada sobre sus hábitos de salud, dieta, estilos de vida y medidas antropométricas, así como una muestra de sangre. Los investigadores del estudio han seguido a la cohorte durante más de 20 años para evaluar cambios en el estado de salud y conocer la aparición de enfermedades como el cáncer, la enfermedad coronaria, los eventos cerebrovasculares o la diabetes. EPIC es uno de los mayores estudios epidemiológicos realizados hasta la fecha y está avalado por una gran producción científica (más de 500 artículos científicos hasta la fecha) y publicaciones en las mejores revistas biomédicas.

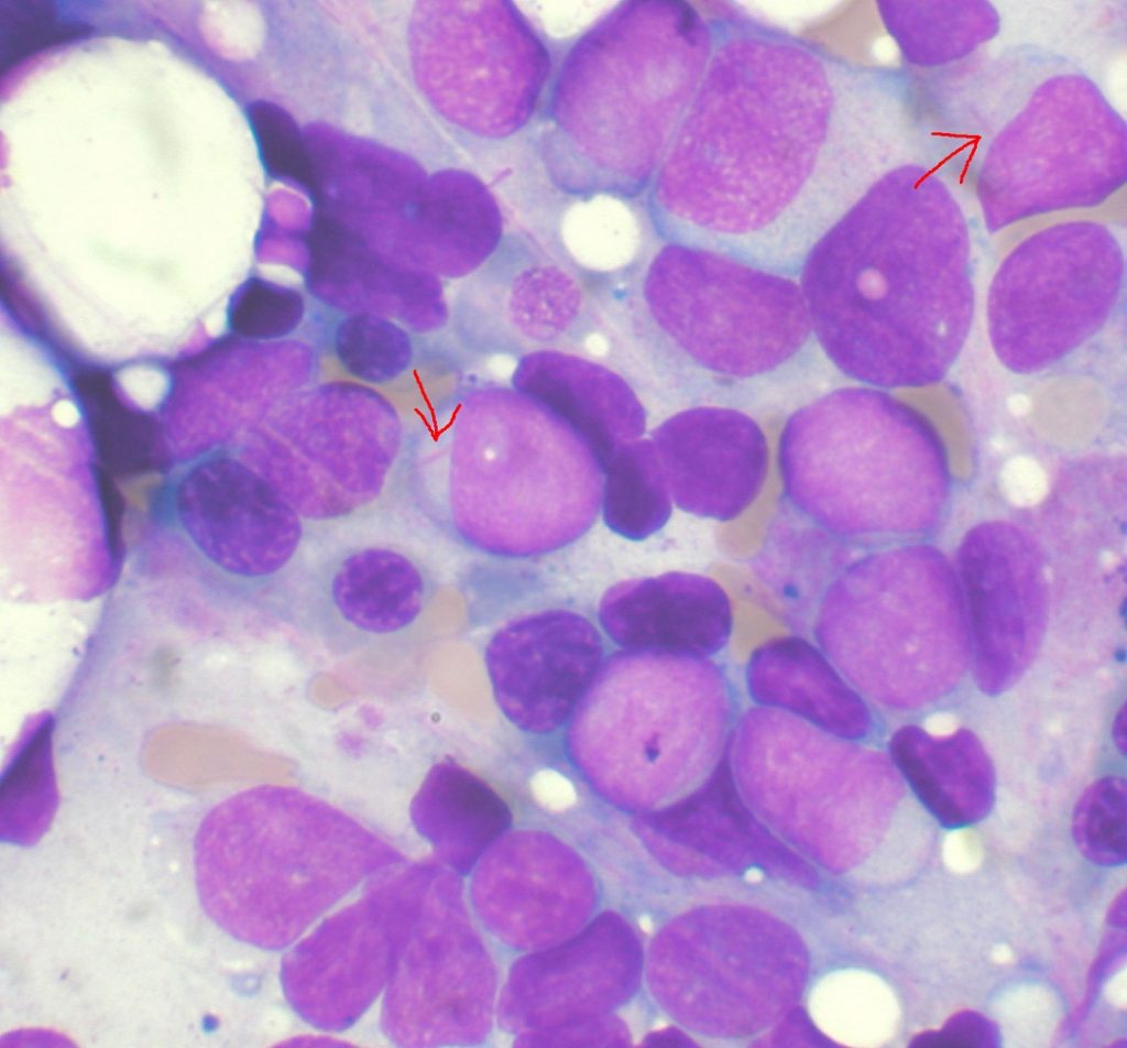
Muestra de médula ósea mostrando leucemia mieloide aguda B. Las flechas señalan los bastones de Auer. / VashiDonsk
Publicado en:
- Portal de Salud
- La Vanguardia (sección Andalucía)
- La Vanguardia (sección Vida)
- ConSalud.es
- Europa Press
- Granada Es Noticia
- Redacción Médica
- El Espectador
- ABC
- Granada Hoy (también en edición impresa)
- Ideal (en edición impresa)
- Andalucía Información
- El Médico Interactivo
- Webconsultas
- IMfarmacias
- RTVE
- EFEfuturo
- Teleprensa
- Ecodiario


